症例:ライブラリー
- Home
- 診療案内
- 症例:ライブラリー
ライブラリー
症例
-
症例20 : インプラント治療 + オールセラミッククラウン + 審美 + ボトックス注射


- インプラント
- 下顎前歯
- 1本
- オールセラミッククラウン
- 審美治療
- 咬筋ボトックス注射
-
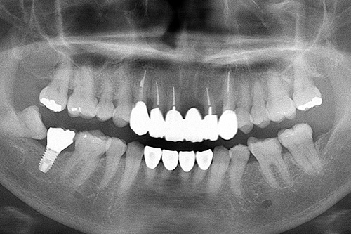
症例19 : 骨造成 + インプラント埋入 + オールセラミッククラウン


- サイナスリフト + GBR(骨造成)
- インプラント
- 上顎前歯
- 下顎前歯
- オールセラミッククラウン
-
症例18 : all on 4(インプラント埋入)+ オールセラミッククラウン


- インプラント
- 上顎前歯
- all on 4
- オールセラミッククラウン
-
症例17 : 骨造成(GBR)+ all on 4 + オールセラミッククラウン


- 骨造成
- インプラント
- 上顎前歯
- all on 4
- GBR
- オールセラミッククラウン
-
症例16 : 骨造成(GBR) + インプラント埋入 + オールセラミッククラウン


- インプラント
- 上顎前歯
- 下顎
- GBR
- オールセラミッククラウン
-
症例15 : オールセラミッククラウン


- 上顎前歯
- 2本
- オールセラミッククラウン
-
症例14 : ポーセレンラミネートべニア + e-maxクラウン + オールセラミッククラウン


- ポーセレンラミネートべニア
- e-maxクラウン
- オールセラミッククラウン
- ファイバーポストコア
-
症例13 : 骨造成(サイナスリフト、GBR、オールセラミック)


- インプラント
- 上顎前歯
- 下顎前歯
- オールセラミッククラウン
-
症例12 : インプラント + オールセラミッククラウン + ファイバーポストコア + フレックスデンチャー + ボトックス注射


- インプラント
- 上顎前歯
- オールセラミッククラウン
- フレックスデンチャー
- ボトックス注射
-
症例11 : 骨造成 + インプラント + オールセラミッククラウン


- インプラント
- 右下6
- 1本
- GBR
- オールセラミッククラウン
- 静脈内鎮静法
-
症例10 : サイナスリフト + インプラント + オールセラミッククラウン(ファイバーポストコア)


- インプラント
- サイナスリフト
- オールセラミッククラウン
-
症例09 : インプラント + オールセラミッククラウン


- インプラント
- 右下7
- 1本
- GBR
- オールセラミッククラウン
- 静脈内鎮静法
-
症例08 : インプラント + オールセラミッククラウン


- インプラント
- 右下6
- 1本
- オールセラミッククラウン
- 静脈内鎮静法
-
症例07 : All-on-4®


- インプラント
- All-on-4®
- 下顎
- オールセラミック
-
症例06 : All-on-4® & All on 5®
- インプラント
- All-on-4®
- 下顎
- All on 5
- 上顎
- ハイブリッドセラミック
-
症例05 : サイナスリフト + インプラント + ハイブリッドセラミック
- インプラント
- 上顎
- 8本
- 下顎
- 7本
- サイナスリフト
- GBR
- ハイブリッドセラミック
-
症例04 : インプラント + ハイブリッドセラミック
- インプラント
- 1本
- 歯周病
- 審美歯科
- ハイブリッドセラミック
-
症例03 : ファイバーポストコア + ジルコニアクラウン
- 差し歯
- 上顎前歯
- ファイバーポストコア
- 5本
- オールセラミッククラウン
-
症例02 : インプラント + ジルコニアクラウン
- インプラント
- 上顎前歯左1番
- 1本
- GBR
- ジルコニアクラウン
- ホワイトニング
-
症例01 : インプラント + オールセラミッククラウン
- インプラント
- 上顎前歯右1番
- 1本
- GBR
- オールセラミッククラウン
- ホワイトニング