症例18 all on 4(インプラント埋入)+ オールセラミッククラウン
症例ライブラリー
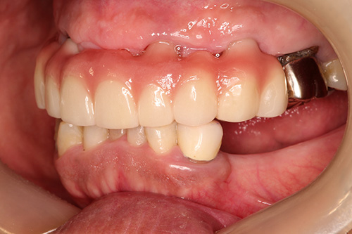
all on 4(インプラント埋入)+ オールセラミッククラウン


治療内容
- 治療ケース
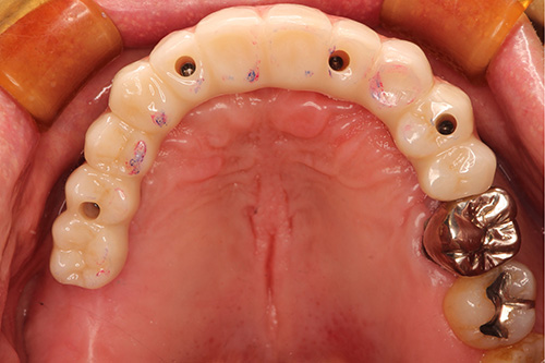
- 骨造成(GBR)、インプラント埋入、オールセラミッククラウン
- 患者様の症状
- 咬みにくいということで、歯根が破折していて抜歯が必要な状態でした。
- 治療結果
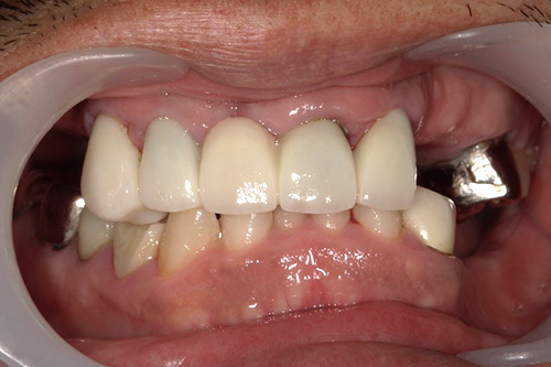
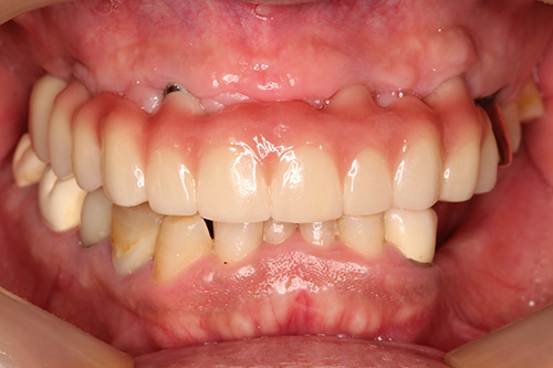
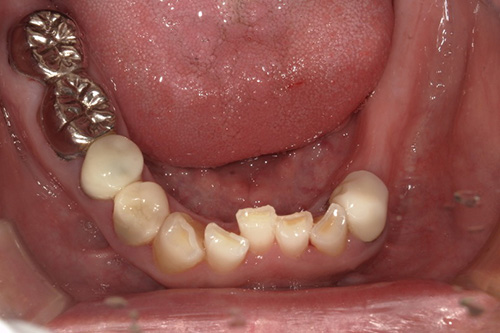
- 抜歯、治療用義歯を作製、1次手術、2次手術を行いプロビジョナルを装着後問題の無いことを確認して最終上部構造を装着。歯が入った後経過も良く、安定している状態です。
- 患者様のお困り事
- 咬みにくい。
- 治療方法
- 上顎部分にインプラント埋入し(all on 4)、上部構造にはオールセラミックを被せる治療となりました。
- 治療開始月
- 2024年7月
治療費用(税込)
合計3,113,000円
- 治療期間
- 約10ヶ月
- メインテナンス頻度
- 3ヶ月毎
治療結果










※患者様の了解のもと掲載しております。
治療を行う上での注意点(リスク / 副作用)
- 外科手術により、以下のような症状が出る場合があります。
- 神経の圧迫や損傷による麻痺・血管損傷による多量出血・術後の腫れと内出血によるあざ(治療はすべて各患者さま固有の症例に対応したものであり、他の方への治療結果を保証するものではありません。)