症例19 骨造成 + インプラント埋入 + オールセラミッククラウン
症例ライブラリー
骨造成 + インプラント埋入 + オールセラミッククラウン


治療内容
- 治療ケース
- 骨造成(サイナスリフト + GBR)、インプラント埋入、オールセラミッククラウン、セラミックインレー、ハイブリッドセラミック充填(ダイレクトボンディング)、ファイバーコア、ホワイトニング
- 患者様の症状
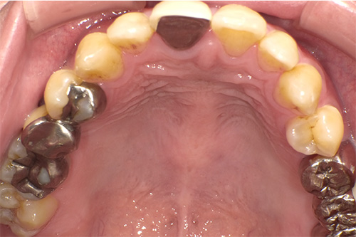
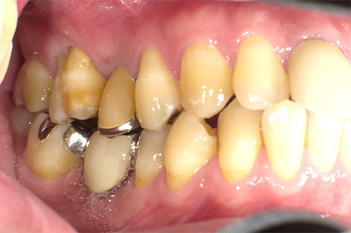
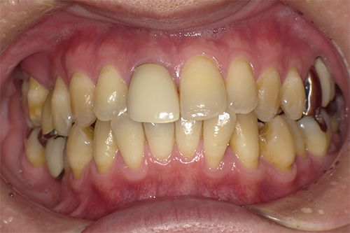
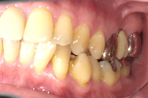
- 右上の歯が痛く、ブリッジ部分の治療を希望されて来院されました。 長年使用していたブリッジの不調があり、「しっかり咬めるように治したい」というご要望がありました。
- 診断
- 右上の欠損部にはインプラント治療が適応と判断しましたが、骨量が不足していたため、サイナスリフトおよびGBR(骨造成)による骨の再生が必要な状態でした。
- 治療結果
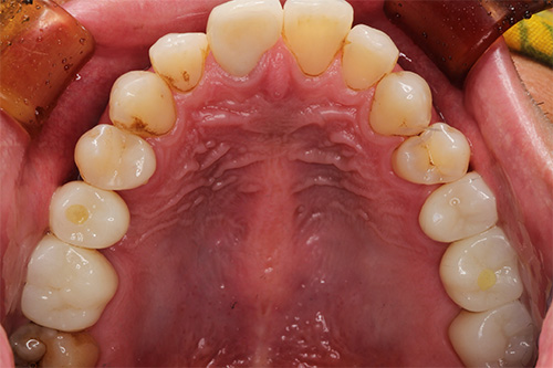
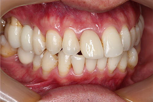
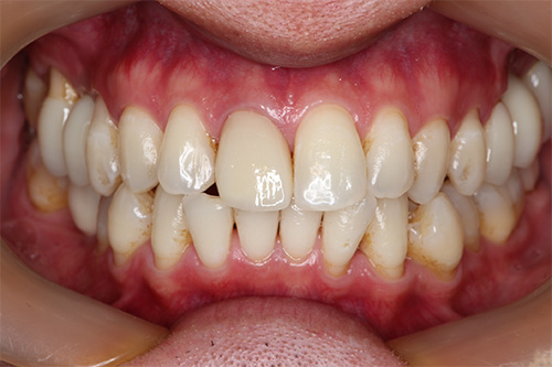
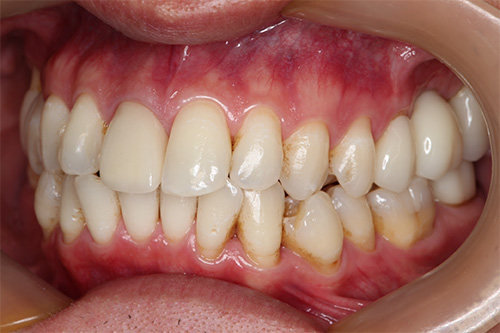
- 最終的に装着したインプラント上部構造(セラミッククラウン)は安定しており、噛む力・見た目ともに大きく改善しました。治療後の経過も良好で、右上の痛みも改善。患者様からは「しっかり咬めるようになり、見た目も自然で嬉しい」とのお声をいただきました。
- 治療内容
-
- 骨造成(サイナスリフト・GBR)
上顎の骨が薄かったため、専用の治療で骨を増やし、インプラントがしっかり安定する土台を作りました。
- インプラント1次手術・2次手術
骨が再生し十分な量を確保できた後、インプラント体を埋入。治癒期間を経てアバットメントを装着しました。
- プロビジョナル(仮歯)で噛み合わせチェック
最終的な被せ物を作る前に、仮歯を使って噛み合わせ・発音・清掃性を確認。問題なく安定していました。
- 最終補綴:オールセラミッククラウン/セラミックインレー
天然歯のように美しく、汚れの付きにくいセラミック素材で最終的な歯を製作。
- その他治療
必要な歯には
- ハイブリッドセラミックによるダイレクトボンディング
- ファイバーコアの築造
- ホワイトニング
を行い、口元全体の機能と審美性を改善しました。
- 骨造成(サイナスリフト・GBR)
- 治療開始月
- 2024年7月
治療費用(税込)
GBR(骨造成)
インプラント手術
オールセラミッククラウン・セラミックインレー・ファイバーコア
プロビジョナル
ダイレクトボンディング
ホワイトニング
合計2,998,600円
- 治療期間
- 約14ヶ月
- メインテナンス頻度
- 3ヶ月毎
治療結果










※患者様の了解のもと掲載しております。
治療を行う上での注意点(リスク / 副作用)
- 外科手術により、以下のような症状が出る場合があります。
- 神経の圧迫や損傷による麻痺・血管損傷による多量出血・術後の腫れと内出血によるあざ(治療はすべて各患者さま固有の症例に対応したものであり、他の方への治療結果を保証するものではありません。)